アイコンの削らないホワイトスポット治療
ホワイトスポットとは

歯の表面にできる白いシミのような斑点を、ホワイトスポット(白斑、白濁)といいます。
従来の治療法と当院の治療法

従来のホワイトスポット治療は、歯を削ってプラスチックを詰めたり、ベニアを貼り付けたりする方法が一般的でした。しかし、当院では歯を削らずにホワイトスポットを治療する「アイコン(Icon)」という方法を採用しています。
アイコン治療とは?
アイコンは、ドイツDMG社が開発した薬剤で、2022年の欧米での比較研究において、ホワイトスポット治療に非常に効果的であると評価され、患者様から高い満足度を得ています。歯を削ることなく、ホワイトスポットを目立たなくし、自然な白さを取り戻すことができます。
アイコン治療の流れ
- 薬剤が浸透しやすいようにホワイトスポット表面を磨きます。
- アイコン専用のジェルで白い部分を除去します。
- 歯の表面をエタノールで完全に乾燥させます。
- コーティング剤を塗布し、光照射で固定します。
効果と注意事項
効果には個人差があり、1回の治療で完全にホワイトスポットが消えない場合があります。 |
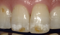
治療前(ビフォー)

施術薬剤

術野が唾液や水でぬれないように治療を行っています
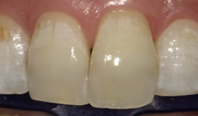
治療後(アフター)

ホワイトスポットの種類
| 初期むし歯 |
|
| エナメル質形成不全 |
|
| フッ素の過剰摂取 |
|
| ホワイトニング |
|



